My Smashed-up Ankle


I did this, not snowboarding, skiing, mountain-biking or hiking, but dancing at Dave Mooower & Lisa's wedding. My pirouetting days are over.

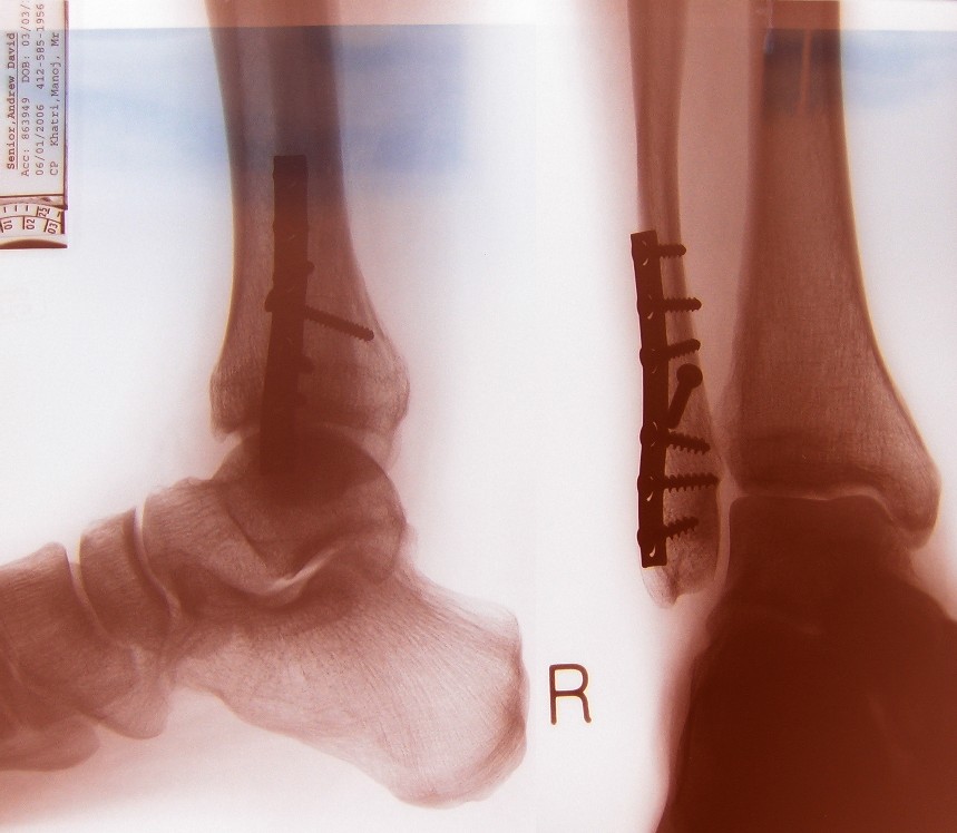
Sat 17-Sep-05


The amulance blokes were great. I had "gas-and-air" (air is a gas ?), which did make me laugh, but also made me vom next day. Preston Royal did a fine job or re-jigging it as soon as we arrived. At 1am Sunday morning there was a suprising lack of drunken (except me) fighting chavs there. Dislocated tibia, spriral fracture of tibia, "Weber B" fracture of fibula. You can see the fibula broken cleanly twice. Strangely, it never really hurt, although I'd had a good dose of beer-anaesthetic at the time.

Week 2

A full length pot #1. Fiberglass these days, any colour you like, including all the day-glows. Plaster of Paris pots are still used for short term, but they're heavier and less resilient, altho cheaper.

Week 3

I cut away knee section (of the pot, not of my leg) with hack-saw, as it was agony. The hospital plaster-room man wasn't impressed.

Week 6

Got a shorty pot #2. My thigh muscle had all but dissapeared.

Week 8

The fibula cracks weren't calcifying, so they surgically put in a stainless steel plate to bring the bits together whilst they heal. This also didn't really hurt after the op, though I was warned it would a lot. I think the surgical team also accidentally replaced my calf muscle with a small floppy bag of liquid. After 24 hrs to let the big nasty scar heal a bit, put on pot #3. Colour choice by neice Hannah.

Week 10

Stitches out, pot #4. The plaster room were good enough to do me a special xmas coloured number.

Week 12

Final pot off. Two weeks partial weight bearing physiotherapy / walking, then 4 weeks proper physio. Nic's now well into her physio degree 1st year, but hasn't covered legs yet. Looks like the snowboarding in mid-Jan'06 is off.

Week 14

After some hard-pushing weight-bearing self physio (in a last-ditch invain attempt to reinstate the January boarding trip to St. Anton, it all swelled up and got quite sore (more than when I broke it), so back to no-weight-bearing for a bit. Wound got a bit infected, so I'm on anti-bionics [sic].

Week 16

Couldn't get a refund on my Swiss Air Zurich flight ticket, so went boarding to St. Anton. Against all advice from orthopedic consultant, physiotherapists, family & bird, I managed a week's gentle boarding without doing any damage. St. Anton pics

Moral of the story - avoid weddings.